مدينة الملك سعود الطبية تحقق إنجازًا طبيًّا عالميًّا بتقنية مبتكرة لعلاج الأورام الكيراتينية الفكية
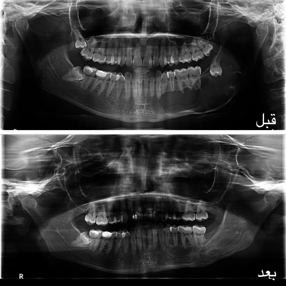
الاحساء – زهير بن جمعه الغزال حقّق قسم جراحة الفم والوجه والفكين بمدينة الملك سعود
الاحساء – زهير بن جمعه الغزال حقّق قسم جراحة الفم والوجه والفكين بمدينة الملك سعود
الاحساء – زهير بن جمعه الغزال اختتمت جمعية سيهات للخدمات الأجتماعية “سعادة” مبادرة “بين أهلنا”
مبادرة “بين أهلنا” تستقطب 188 زائراً قراءة المزيد »
عيسى المزمومي _ الإرتقاء _ الشرقية اُختتمت فعاليات معرض “اللومي الحساوي 2025″، الذي نظّمته غرفة
الاحساء ــ زهير بن جمعه الغزال نظمت مؤسسة رعاية الفتيات بالأحساء ورشة عمل خاصة بالأمن
رعاية الفتيات بالأحساء تنظم ورشة أمنية لتمكين موظفيها قراءة المزيد »
الرياض – زهير جمعة الغزال تشارك جمعية الكشافة العربية السعودية في فعاليات المخيم الكشفي
الكشافة السعودية تشارك في المخيم الكشفي الإسلامي العالمي 2025 بجاكرتا قراءة المزيد »
الاحساء ــ زهير بن جمعه الغزال اختتمت جامعة الملك عبدالعزيز، ممثلة في مركز الذكاء الاصطناعي
الاحساء ــ زهير بن جمعه الغزال ترأس المدير العام للتعليم بالطائف الدكتور سعيد بن
الغامدي يترأس اجتماع اللجنة التنفيذية الـ ٢٣ في تعليم الطائف قراءة المزيد »
الاحساء ــ زهير بن جمعه الغزال أجرت بلدية محافظة بقيـق، استطلاع لآراء المستفيدين من
بلدية بقيق تجري استطلاعاً لاستقصاء آراء المستفيدين حول الخدمات المقدمة قراءة المزيد »
الاحساء ــ زهير بن جمعه الغزال تمكّن فريق جراحي متخصص في جراحة المسالك البولية بمستشفى
نجاح جراحة معقدة في مستشفى الملك فهد بالهفوف باستخدام المنظار الجراحي قراءة المزيد »
الاحساء ــ زهير بن جمعه الغزال أنهت المؤسسة العامة للري، بالتعاون مع وكالة المياه
المؤسسة العامة للري تنهي أعمال تصريف مياه سد وادي نجران قراءة المزيد »
الاحساء ــ زهير بن جمعه الغزال فعلت أمانة المنطقة الشرقية، ممثلة بالإدارة العامة للعلاقات،
أمانة الشرقية تفعل اليوم الدولي للعمل الخيري بمشاركة عدد من الجمعيات قراءة المزيد »
الاحساء ــ زهير بن جمعه الغزال سجّل بنك الدم في مستشفى الملك فهد الجامعي
4600 مسجلاً للتبرع بالدم في مستشفى الملك فهد الجامعي خلال 6 أشهر قراءة المزيد »